主页 > 七大项目 > 美容修复 >

怎么减少烟渍牙?

每年吸烟人数都是增加的趋势,现代人生活节奏快,工作压力大,不少会选择吸烟缓解一下压力和心情。烟渍...

门牙缺了一块怎么办?

牙齿的第一门卫门牙,它肩负着重任,除了要维持口腔日常的运作,还需要面维护主人的个人形象,是一个很...

烤瓷牙失败怎么办

说到烤瓷牙,相信有不少人听到都是一肚子气,烤瓷牙是通过把两侧的好牙磨掉一圈做冠桥修复,自从戴上烤...

活动义齿有什么缺点

当牙齿缺失以后会陆续出现,咀嚼能力下降,影响发音,很多人在牙齿缺失以后都会对缺牙部位进行牙齿修补...

如何判断自己是否有四环素牙

牙齿出现色素沉着的原因有很多种,包括内源性着色和外源性着色两大类,其中,四环素牙属于内源性着色,...

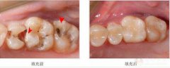
龋齿补牙有哪些注意事项?

现在生活水平的提高,煎炸油甜酸辣等什么食物都会围绕着我们的生活,蛀牙和牙缺损的情况也是越来也多,...

特色项目

牙齿问题在线咨询 020-8378 2905

专家推荐

网上自助挂号

患者
须知

贯彻国家卫生部新医改政策,严格落实解决挂号难、看病难问题,开展网络自助预约挂号服务。

选择科室*

  • 种植科
  • 正畸科
  • 综合牙科
  • 儿童齿科

选择年龄*

  • 18岁以下
  • 18-30岁
  • 30-50岁
  • 50岁以上

口腔连锁品牌

专家预约热线:020-8378 2905
本网站信息仅供参考,不能作为诊疗及医疗依据
广州德伦口腔 粤ICP备11073526号