主页 > 新闻 >

“暑假矫牙分享会“圆满落幕
2016-07-24 18:28来源:德伦口腔点击:
   7月24日“暑假百万基金助力矫牙专场暨新一代时代天使加强型矫治器Angelalign Pro华南区指定临床技术发布会”圆满落幕,田杰博士解密时代天使新一代核心隐形矫正技术优势,熊小琴主任大谈牙齿正畸热点问题,45岁大龄矫牙真人案例还原矫牙全过程,活动现场精彩纷呈,获得从各方慕名赶来听课顾客的一致好评。
 


德伦口腔成为新一代时代天使加强型矫治器Angelalign Pro华南区指定临床技术单位,强强联合,必将引领隐形正畸技术的应用迈向一个新台阶
 


德伦口腔与时代天使成功签约,德伦口腔又掌握一项核心矫治技术
 


田杰博士把授权书授予德伦口腔,熊小琴主任代表接过授权书
 
  新核心技术矫正效率提升29.8%,德伦口腔成华南区单位
 
  中国隐形正畸着书第一人田杰博士为现场观众面对面多角度剖析新一代时代天使加强型矫治器Angelalign Pro的精彩演讲给本次活动增添了一笔重彩,他带来的生动的演讲将现场气氛提升到至高点。让所有在场的爱牙者深刻地了解到一口健康整齐的牙齿对我们健康和笑容的重要性,并一起见证专为东方人量齿定造的时代天使隐形矫正技术再一次突破,德伦口腔作为这一核心技术的华南区指定烂技术单位定将及时有效帮助患者摆脱牙齿畸形困扰,收获自信灿烂笑容。
 


田杰博士发表新一代时代天使加强型矫治器Angelalign Pro,隐形正畸领域新突破
 
  什么是Angelalign Pro时代天使隐形矫治器加强型?
 
  Angelalign Pro是一薄厚膜无托槽隐形矫治器。 每一步移动包含两个矫治器,第一周佩戴的矫治器薄一些,弹性较大,初始矫治力更柔和,矫治体验更舒适;第二周佩戴的矫治器厚一些,弹性较小,矫治力得到补充和维持,有利于牙齿移动的确切实现和牙齿位置的精确控制,确保治疗效果。
 


时代天使Angelalign Pro矫治器矫正效率提升29.8%,美丽无需等待
 
  人人追求“白齐美”,牙齿矫正成风尚
 
  现代人生活节奏快,平时很少机会获得专业的口腔知识,而熊小琴主任专业的正畸课程通俗易懂,更是不时引起现场顾客的共鸣。课后,熊主任更是耐心接受大家的再次咨询,主动走到台下与顾客交流,可见顾客对矫牙的高度关注。
 


熊小琴主任表示曾接诊过61岁高龄矫牙案例,并帮助该患者成功排齐牙齿,用事实说明矫牙无年龄限制
 


现场顾客对于牙齿矫正的关注度都相当高,不时地向熊主任提问
 
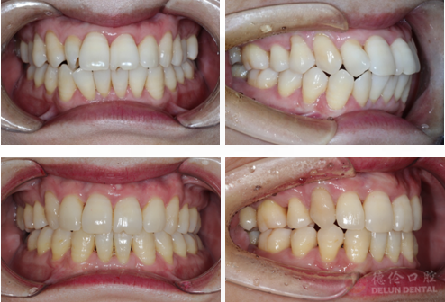
  45岁真人矫牙案例助力分享会 矫牙无年龄限制
 


杨女士大方分享自己的矫牙心得,并呼吁大家矫牙要及时
 


杨女士正畸术前术后对比照,美丽蜕变看得见
 
  不久前在德伦口腔完成矫牙疗程的杨女士更是主动到现场分享矫牙全过程,大谈她的矫牙心得,现场顾客对杨女士这位矫牙的“过来人”的矫牙经历都十分感兴趣,不少顾客坦言看到45岁的杨女士矫正后得到这么好的效果,终于相信矫牙是没有年龄限制的。
 


幸运顾客获得一等奖可以享受免除正畸方案设计费,高兴得举起胜利的手势
 
    暑期矫牙来德伦 百万基金援助启动 
    学霸专享:矫牙费用补贴高达30% 
    矫牙本金百倍翻:预存6006000 
    先矫后付无压力:矫牙0首付、0门槛 

特色项目

牙齿问题在线咨询 020-8378 2905

专家推荐

网上自助挂号

患者
须知

贯彻国家卫生部新医改政策,严格落实解决挂号难、看病难问题,开展网络自助预约挂号服务。

选择科室*

  • 种植科
  • 正畸科
  • 综合牙科
  • 儿童齿科

选择年龄*

  • 18岁以下
  • 18-30岁
  • 30-50岁
  • 50岁以上

口腔连锁品牌

专家预约热线:020-8378 2905
本网站信息仅供参考,不能作为诊疗及医疗依据
广州德伦口腔 粤ICP备11073526号