母亲节年年过,小礼物年年送,可年长年长,有“心”意没“新”意的礼物是否已经出现送礼疲劳呢?
想象中妈妈收到礼物是惊喜不已,热泪盈眶的,但其实也有可能是这样的:
妈:怎么还送起花来了呀,哎呀,你爸我都没让他送过我花,太不实用了
我:……
妈:衣服挺好看的,但是有点不合身,颜色太艳,款式太浮夸了
我:……
妈妈:这款包包喜欢很久了,一直没舍得买,可是也太贵了,你花那么多钱干什么
我:……
妈:妈妈上了年纪,保养什么的没啥用,护肤品啊,还是你们年轻人多用着点
我:……
是的,妈妈不止无私伟大包容细致,也挑剔傲娇难搞,虽然也有口是心非,但亲妈就是亲妈,她开心就好。
年轻时,妈妈也是个大美人,唇红齿白,笑靥如花,可岁月并不那么怜香惜玉,牙齿在日积月累中变黄,仅仅这一点就让妈妈的笑容黯然失色。想要真正的让妈妈收一份实惠不贵又贴心好用的礼物,今年的母亲节,不如陪妈妈一起去美个牙。
德伦口腔母亲节美牙福利母女/母子两人同行,一人免单,即刻打造一口净白靓牙,让妈妈更年轻气质,让自己更时尚自信。
即使岁月无可回头
也要陪她优雅的美下去
冷光美白惊喜体验价5折
<<<<在线预约>>>>
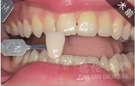
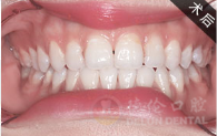
德伦高级进口冷光美白:
源自于美国硅谷科技,是一种通过在牙齿上涂抹美白凝胶,在专业进口美白仪的照射下,进行舒适舒适的美白方式。不伤牙龈和牙釉质,且限度的还原牙齿洁白,美白。



特色项目
牙齿问题在线咨询
020-8378 2905
专家推荐
网上自助挂号
患者
须知
贯彻国家卫生部新医改政策,严格落实解决挂号难、看病难问题,开展网络自助预约挂号服务。

口腔连锁品牌