1940年/李老伯
职业:退休工程师
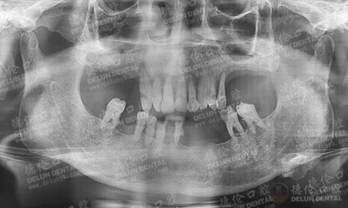
牙齿症状:上排牙缺失8颗,下排牙缺失7颗。
缺牙连锁反应:缺一颗恶化至15颗!
对于有些人来说,缺一颗牙,好像影响不大,可以不理。可是对于剩余的健康牙齿来说,少了这个“伙伴”一起“并肩作战”,时间久了它们也会开始“动摇”“掉队”,甚至脱落,这就是缺牙的连锁反应。缺1颗牙不修复,导致恶化至10颗以上的例子屡次发生。2014年,在德伦口腔进行种植牙手术的李老伯就是一个。即便他选择了活动假牙,缺牙还是恶化到了15颗!
缺牙不种,原来是误解了种植牙!
回顾起选择德伦口腔做种植牙,李老伯说“经常在报纸上看到德伦口腔关于种植牙的报道,说效果就和真牙一样,一直很想咨询下,刚好有时间就来看看。”缺牙不种,是因为之前并没有充分了解种植牙,导致种牙一拖再拖。德伦口腔的种植专家让他把之前对种植牙的误解都解开了。

李老伯口腔全景X光片

术前身体、口腔检查
检查完李老伯的口腔情况和身体状况后,德伦口腔的专家团队为他量身定制了一套微创种植牙手术方案,手术过程创口小、出血少、可靠舒适,大大降低患者痛苦程度,适合像李老伯这类害怕疼痛的长者的种牙需求。
术后李老说道:“种牙前还担心会很痛,结果躺着休息一小时就种好了,完全没感觉。”
种完牙,口福又回来了!
术后,问到李老现在很想干什么,李老笑眯眯的说道:“啃排骨、吃鱼。”

终于,做完种植牙的李老伯,口福又回来了。之后,说起种植牙的使用效果,深有体会的李老伯当场就吃起了螃蟹、啃苹果。

特色项目
牙齿问题在线咨询
020-8378 2905
专家推荐
网上自助挂号
患者
须知
贯彻国家卫生部新医改政策,严格落实解决挂号难、看病难问题,开展网络自助预约挂号服务。

口腔连锁品牌