图为:李佳欣医生在纽约大学培训处留影
图为:获得iACD的Diplomate资质(Diplomate美国官方认可的专科医师认证,美国牙医分为全科医生和专科医生,而专科医师对医生的临床经验和技艺要求更严苛。)
李佳欣简介:留美美学种植专家、国际种植牙医师学会会员、iACD首席种植专业翻译官,自2010年起每年都会赴美深造学习,分别在美国哥伦比亚大学、宾夕法尼亚大学进修并获得资质认证;对口腔种植、牙周治疗有着丰富的临床经验和娴熟的技巧,尤其擅长前牙区美学种植和全口功能性重建。
iACD首席种植专业翻译官的荣誉加载
与iACD现任会长Jon.SuZuki合影
与上海九院党委书记、iACD下任会长沈国芳合影
此次为期一周的学术之旅,亚太地区受邀参与的牙医每一位都是相关领域的佼佼者。作为iACD官方聘请的首席种植专业翻译官,除了自己听课学习,还要负责全程的同声翻译,让在场亚太区医生能实时吸收讲师知识要点,这对李医生的专业知识、语言表达和逻辑思维能力都要求极高。
以修复为导向的种植
让每一位缺牙老人都能轻松种牙
图为:以修复为导向的数字化种植,大大降低种植风险的同时提高了舒适度和可靠性。
传统的种植牙以骨为导向,哪里缺牙种哪里,种植位置凭经验,术中创口较大,术后得较长的恢复期。
培训中再次强调以修复为导向的现代种植:
种牙前: 借助数字化种植设备来准确预测种牙位置,模拟口腔种植情况,以此来设计方案;
种牙中、后:考量整个种牙过程的舒适度,以及种牙后的耐用度和长久性。
通过理论、现场手术、专家讲解,针对单个案例的引申、发散,来展示在临床上如何应对各种情况的出现,加强参训医生的动手和风险预控能力,让每一个优秀的医生对细节的要求更加严苛;当然这对患者来说是一种福旨。
“对于中国的部分缺牙老人来说,种出一口品质好牙需要拿出他很多积蓄,加上自身的口腔、身体条件较差,他很容易陷入紧张的情绪,这时无论对种植医生的专业知识、细节操作和沟通能力都要求很高,唯有不断的自我提升才能让每一个缺牙老人都能从心理和生理上舒适种出好牙”李佳欣医生分享到。
种植牙并非一劳永逸
比牙周病更可怕的植周炎
随着种植牙的普及,植周炎(种植体周围的牙龈组织受到感染)的情况时有发生,如果是早期种植体周围粘膜炎那么是可以逆转和恢复的,一旦进展为植周炎那就很难保留了,这也是导致种植失败的重要原因。
图为:与本次牙周治疗培训导师、牙周病学教父P.D.Miller教授合影
“由于种植体周围的牙周组织与天然牙周结构不同,植周炎的进展比牙周炎来的更迅猛,发生后如何有效治疗是种植领域主要的研究课题之一。目前主要是在种植初期做好评估和预防,以修复为导向的数字化种植可以从医生的操作方面来降低植周炎发生的概率;但更重要的预防手段还是患者种牙后的自身维护和定期复诊检查”。
美学种植 品质种牙新趋势
“坚固、耐用是基本需求,而自然美观是对种牙品质的更高追求;美学种植是在保证种植过程舒适,种的牙坚固、耐用的前提下,让完成修复后的牙齿自然、美观,牙龈红润健康。”此次学习中大量美学种植案例的展示让李佳欣医生更坚定了这条种牙新道路。
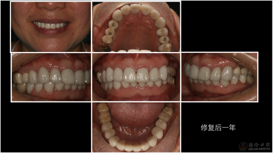
李佳欣医生案例展示
患者症状:牙齿龋坏、四环素牙、牙齿缺失。
治疗方法:治疗牙髓炎和根尖周炎的患牙、拔除残根残冠、升高咬合,种植修复及全冠修复。
术前:

术后:

特色项目
牙齿问题在线咨询
020-8378 2905
专家推荐
网上自助挂号
患者
须知
贯彻国家卫生部新医改政策,严格落实解决挂号难、看病难问题,开展网络自助预约挂号服务。

口腔连锁品牌