主页 > 新闻 >

【专家推荐】 明星牙医and美学大咖
2023-02-22 11:18来源:未知点击:
广州新闻《G4出动》联合德伦口腔共同举办第五届欧洲德国种牙节已跨入第三个月,本次种牙节以“中欧种植牙大师疑难案例手术直播”为主题,通过举办种牙直播观摩、会诊、优惠活动等等,为有种牙需求的患者带来的种植牙服务和高性价比的种植优惠。

 
7月22日,“中欧种植牙大师疑难案例手术直播”将在德伦口腔举行
 

   10大中欧种植牙大师联合会诊

 
  德伦口腔特别邀请10大中欧种植牙大师, 这个7月,10位大师分别出诊,为缺牙市民提供、可靠、有效的种植治疗方法。
 

   周一特诊专家:羊城明星牙医——程武 主治医师


 
  擅长:数字化导板种植、微创种植、前牙美学种植、即刻种植
  毕业学校:西安医科大学口腔医学系
  参加培训:中山医科大光华口腔医院参加Replace,Ankylos,3I等种植系统培训、广东省口腔医院参加现代根管治疗培训、香港大学种植美学修复培训。
 
 
  荣誉:Bioconcept种植体全国讲师。
  简历:毕业于西安医科大学口腔医学系。从事口腔工作十余年,在国内一家国际JCI认证三甲医院工作七年,于05年开始种植工作。先后在中山医科大光华口腔医院、广东省口腔医院、香港大学培训。
 
  程医生不仅临床经验丰富,平时经常参加各种学术交流会,对种植牙领域的不断探索,积累了丰富的临床经验,并以其过硬的医术和良好的医德受到患者的称赞。
  程武医生从医十多年以来,接诊过的牙齿案例无数,凭着过硬的技术和冷静的头脑,已成功主持过多个种植手术直播。对他来说无论是镜头外或是镜头内只要在手术室内,他的目标就是把牙种好
  

   周二特诊专家:留美美学种植专家——李医生 主治医师

 
  擅长:各类型牙种植修复、前牙美学种植、咬合功能重建
  简介:留美美学种植专家、国际种植牙医师学会会员、iACD首席种植专业翻译官,自2010年起每年都会赴美深造学习,分别在美国哥伦比亚大学、宾夕法尼亚大学进修并获得资质认证;
 
2014年李医生在哥伦比亚大学进修
 
  2017年5月2日~5月5日,李医生作为亚太区30余位牙医代表之一参与美国纽约大学口腔医学院举办的继续教育项目,并于5月6日~5月7日参加iACD举办的200人学术盛会,获得美国官方认可的专科医师认证。
 
李医生获得iACD的Diplomate资质(Diplomate美国官方认可的专科医师认证,美国牙医分全科医生和专科医生,而专科医师对医生的临床经验和技艺要求更严苛。)
 
 
李医生与本次牙周治疗培训导师、牙周病学教父P.D.Miller教授合影
 
 
除了平时叮嘱患者要保护好牙齿之外,李医生常为种牙市民授课讲解种植牙的相关知识,帮助患者从生活中养成保护口腔健康的好习惯。
 
 
德国种牙节活动,李医生为观众授课后,与爱牙公益使者——G4出动主持人林洁一起,受到市民的热情点赞。
 
 
  “对于中国的部分缺牙老人来说,种出一口品质好牙需要拿出他很多积蓄,加上自身的口腔、身体条件较差,他很容易陷入紧张的情绪,这时无论对种植医生的专业知识、细节操作和沟通能力都要求很高,唯有不断的自我提升才能让每一个缺牙老人都能从心理和生理上舒适种出好牙”李佳欣医生分享到。
 
李医生从医10年心得体会:谨遵循证医学,医患重在沟通
 
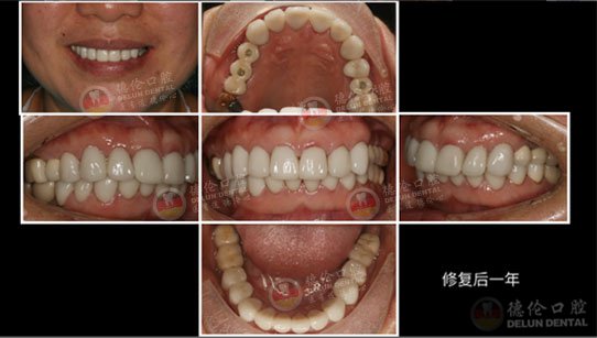
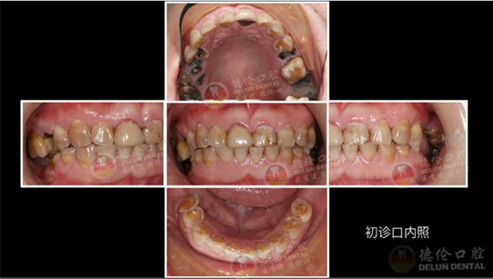
李医生诊疗案例
 
  除了以上两位种植专家,周三至周六皆有种植特诊,名额有限,在线咨询可以预约。特诊日程见文章下方。
 

   种植牙大师特诊预约

 
专家名称 星期一 星期二 星期三 星期四 星期五 星期六
             
             
程武      
       
 
 
  在线预约

特色项目

牙齿问题在线咨询 020-8378 2905

专家推荐

网上自助挂号

患者
须知

贯彻国家卫生部新医改政策,严格落实解决挂号难、看病难问题,开展网络自助预约挂号服务。

选择科室*

  • 种植科
  • 正畸科
  • 综合牙科
  • 儿童齿科

选择年龄*

  • 18岁以下
  • 18-30岁
  • 30-50岁
  • 50岁以上

口腔连锁品牌

专家预约热线:020-8378 2905
本网站信息仅供参考,不能作为诊疗及医疗依据
广州德伦口腔 粤ICP备11073526号