
崔保亮 主治医生
临床经验:11年
擅长:无牙颌疑难种植、数字化导板种植、ALL-ON-4 即刻修复
·【首届中国民营口腔种植病例点评】季军
·中华口腔医学会会员
·广东省种植专委会会员
·Sirona西诺德CAD/CAM修复系统高级培训师
·3M牙齿美容修复培训师
【出诊时间】
10月16日(一) <<<<我要预约
10月17日(二) <<<<我要预约
10月18日(三)<<<<我要预约
中欧种植牙大师 疑难案例手术直播第19期
10月20日,第19期中欧种植牙大师 疑难案例手术直播来了,本次主刀医生就是崔保亮医生。
我们都知道,手术现场直播不仅是对手术医生的心理素质的极大考验,更是对医生精湛技艺和3D数字化导板种植技术的双重检验。10月22日,我们邀您来共同验证!
即日起,凡是符合以下条件即可报名现场观看

报名方式:在线报名或者拨打020-83782905
报名地址:德伦口腔东风旗舰院(广州市越秀区东风中路418号华以泰国际大厦23楼)
从事口腔临床工作十余年,崔保亮医生对于种植牙有这独特的见解,特别是数字化种植。
崔医生表示,数字化种植体系是通过数字化系统模拟口腔环境,准确控制种植体的植入位置、方向和深度,避开关键性神经和血管,是对口腔骨头再了解的过程。
有了3D导板的辅助,不仅使手术过程缩短了1/3-1/2的时间,而且手术创口小、恢复快,大大提升了整个种植手术的效率。
【经典案例】
全口无牙颌种植
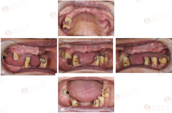
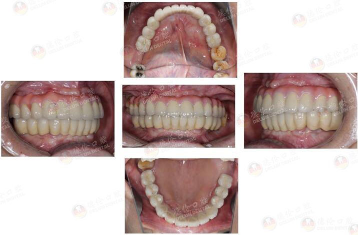
患者情况
许女士 65岁
牙齿症状:全口多牙缺失十余年。
10余年前因牙周炎致全口多牙拔除,之后利用活动假牙修复,现在出现活动假牙固位差、牙龈游走性压痛等情况,希望做种植牙修复。
治疗方式:倾斜植体避开左侧上颌窦、整体支架修复、数字化3D导板种植


特色项目
牙齿问题在线咨询
020-8378 2905
专家推荐
网上自助挂号
患者
须知
贯彻国家卫生部新医改政策,严格落实解决挂号难、看病难问题,开展网络自助预约挂号服务。

口腔连锁品牌