历十年峥嵘,德伦口腔逆行而上,实现从1到14的飞跃发展。2020年8月16日德伦口腔冼村旗舰院即将起航(地址:广州市天河区黄埔大道西路187号之一首层)。
从当初一家东风总院到现在第十四家分院开业,德伦口腔一直肩负着“让全民拥有一口健康好牙”的使命,服务范围覆盖广、佛两地核心地区,进一步满足周边市民的看牙需求,让市民可随时随地享受到德伦口腔专业、可靠、便捷的口腔医疗服务。

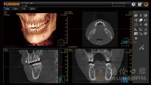
2011年成立之初,德伦口腔便明确要以“技术建院·学术兴院”的理念进行发展。德伦口腔集团通过与国际知名学府、厂商建立合作,截止到2020年4月,累积已引进数十项全球口腔诊疗技术。在德伦口腔博硕专家带领下,各科室医师已在临床中广泛开展数字化无牙颌舒适舒适种植牙、数字化舌侧托槽牙齿矫正、数字化红白美学修复、显微根管治疗+橡皮障隔湿术等高难技术。


德伦口腔举办了多场国际性学术高峰论坛,为数千名各级临床医生创造学习提升的机会,荣获10多项国家级口腔技术专利,涵盖种植、正畸、全科、洁牙等各个学科。让口腔科技造福更多市民,为市民口腔诊疗铸就品质。

德伦口腔作为行业标杆,对医生队伍有着严格的要求,每一位入职德伦的牙科医生均经过层层考核。目前德伦口腔拥有一支由数十名口腔医学博士、硕士、主任医师、副主任医师等高学历高资质医师组成的专家团队,200多名正规院校毕业、技能扎实的护理团队。

另外,为保证医疗质量与可靠,德伦口腔设置十六大质控小组对全院医疗行为进行监督,为顾客的可靠诊疗保驾护航。
德伦口腔用实力证明自己,凭借专业的技术和优质的服务,赢得社会各界及顾客的一致认可和高度赞赏。实力认证德伦好口碑。

未来,德伦口腔将继续深耕口腔诊疗技术,壮大医疗人才队伍,为市民提供更专业、优质的口腔诊疗服务。
8月16日,德伦口腔诚邀您莅临冼村旗舰院开业盛典,共同谱写德伦成长的新篇章。
特色项目
牙齿问题在线咨询
020-8378 2905
专家推荐
网上自助挂号
患者
须知
贯彻国家卫生部新医改政策,严格落实解决挂号难、看病难问题,开展网络自助预约挂号服务。

口腔连锁品牌