主页 > 新闻 >

福利来袭|“假期综合症”拯救指南
2023-03-01 17:30来源:未知点击:
十一黄金周进入倒计时阶段,不知道有多少小伙伴还沉浸在,假期中缓不过来。除了身体状态外,其实缓不过来的还有我们的牙齿,过节期间的海吃海喝,让牙齿受到冷热酸甜的各种刺激,稍不注意就会出现,牙疼、牙龈出血、口腔异味等情况。


 
小德现在送上“爱牙指南”拒绝牙齿“假期综合症”帮大家迅速调整到“搞钱”模式,每天都UP!UP!UP!
 
症状一:牙齿疼痛
 
国庆长假,家庭聚餐和同学聚会数不胜数,种类繁多的美食让牙齿承受了很多负担,口腔清洁不彻底,使细菌不断滋生聚集,牙齿疾病很容易找上门。


 
爱牙指南:
 
若牙齿疼痛情況严重,则需到口腔医院进行治疗,否则会逐渐发展为牙周炎,很可能导致牙齿松动;若不严重,可以自己在家用温水刷牙、温盐水漱口缓解,假如情况没有得到解决,也要及时就医;同时,节后不宜再吃油腻食物,饮食要以清淡为主。
 
  · 德伦爱牙月|检查优惠 ·  
免费口腔检查套餐
 
症状二:口腔异味
 
过节期间,大吃大喝是常态,烟酒茶更是必备物,生活作息的不规律让口腔清洁也常被忽视,因此牙齿污渍堆积,口腔也有异味。


 
爱牙指南:
 
口腔有异味怎么办?当然是洗牙啦!口腔异味的主要来源就是牙垢、牙结石以及其他口腔疾病。洗牙能清理掉牙齿上的牙菌斑和牙结石,减少大部分的口臭,还能及时发现口腔中的其他疾病,做到早发现早治疗。
 
  · 德伦爱牙月|洗牙优惠 ·  
超声波洁牙99元
(仅限工作日)
 
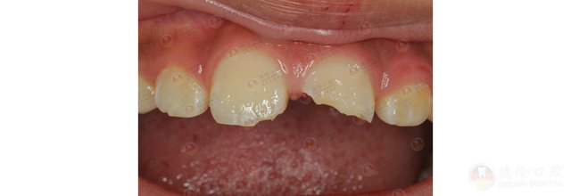
症状三:牙齿意外劈裂
 
亲朋好友团聚期间,坚果零食必不可少。坚硬的坚果壳,有的时候用手不好剥开,就会使用牙齿来咬,这时很容易导致牙齿崩裂变形,引起牙齿酸痛敏感,不仅影响美观,还会使咀嚼功能降低。


 
爱牙指南:
 
一旦发现牙松动、牙裂,要及时到正规口腔机构进行治疗、修复,若错过了牙齿修复的黄金时期,牙齿很可能离你而去。
 
 
  · 德伦爱牙月|补牙优惠 ·  
美国3M树脂补牙99元/颗
新诊福利,仅限1颗
 
 
无论是过节还是日常,小伙伴们都要注重口腔健康,如果牙齿出现问题一定要去正规口腔机构及时就医哦~

特色项目

牙齿问题在线咨询 020-8378 2905

专家推荐

网上自助挂号

患者
须知

贯彻国家卫生部新医改政策,严格落实解决挂号难、看病难问题,开展网络自助预约挂号服务。

选择科室*

  • 种植科
  • 正畸科
  • 综合牙科
  • 儿童齿科

选择年龄*

  • 18岁以下
  • 18-30岁
  • 30-50岁
  • 50岁以上

口腔连锁品牌

专家预约热线:020-8378 2905
本网站信息仅供参考,不能作为诊疗及医疗依据
广州德伦口腔 粤ICP备11073526号