随着人们对美的追求越来越高,牙齿美白已经成为一项日常课题,针对困扰大家的色素牙问题,德伦口腔将于8月22日举办“拯救色素牙--全民牙齿“美白”季”活动,届时广州德伦口腔修复中心主任崔巧明会现场授课,助你选择合适自己的方式摆脱色素牙,带着你们的黄牙、黑牙、四环素牙、氟斑牙、畸形牙、龅牙等来听崔医生讲课吧,饱受色素牙折磨的你肯定会获益匪浅!
联系方式:020-83782905;4006-235-225.
针对人群:黄牙、黑牙、四环素牙、氟斑牙、畸形牙、龅牙
活动时间:2015.8.22
备注:以上活动之后解释权归德伦口腔所有。
德伦口腔三大牙齿美白方法
色素牙表现为牙齿发黄、发黑或发灰等,对个人形象影响甚大,根据个人情况和症状的不同,选择适合自己的牙齿美白方法尤为重要。德伦口腔三大牙齿美白方法,总有一款适合你!
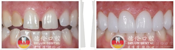
3D超薄瓷贴面
3D超薄瓷贴面依据患者的牙齿情况,利用3D数字技术制作出形态色泽自然美观的薄至0.1mm的全瓷牙贴面,在不磨牙或少磨牙的情况下修复色素牙。
适应症:中高色素牙(黄牙、黑牙、四环素牙、氟斑牙等),及牙齿形态不佳。
优势:数字技术美白。
--案例--

仿生美容修复
通过数码技术,精确分析牙齿形态及病症,量身设计美容修复方案。再采用进口全瓷材料定制牙冠,对牙色、牙形乃至牙弓弧度都能达到真牙效果,并能够和邻牙自然结合。
优势:数字化CAD/CAM+黄金比例设计+不脱落
适应症:中高度色素牙(黄牙、黑牙、四环素牙、氟斑牙等)、牙齿形态不佳,排列不齐。
--案例--

蓝光美白
采用介于480-520nm之间的高强度蓝光,通过氧化剂过氧化氢中的小分子,穿过牙釉质和牙本质渗透入牙齿的所有部分,在釉小柱间移动,分解清除牙变色的色素分子。氟化剂封闭牙本质小管,防止治疗过程中外力对牙齿的意外伤害,促使牙釉质新生。
优势:30分钟美白,提升14个色阶。
适应症:轻度色素牙