门牙不仅是面部形象的重要部分,而且门牙的健全也是维持发音正常的重要保障。门牙缺失会产生一系列的不良影响,例如:影响个人形象、说话漏风、引起其他口腔疾病,如果长期没有得到修复还会造成心理影响。那么,门牙缺失后要如何补救呢?今天邀请到被羊城晚报评选为“德艺双馨”的明星牙医——德伦口腔程武医生为我们进行解答。

程武医生
德伦口腔主治医师
西安医科大学口腔医学学士
BIOCNCEPT种植体全国讲师
问:程医生您好!现在有很多人因为碰撞、牙周炎等原因导致门牙缺失,由于位置明显对人形象影响大,因此深感头疼,请问门牙缺失后要如何进行补救?
德伦口腔程武医生:门牙缺失后有三种修复方式,活动假牙、固定烤瓷牙、种植牙,其中种植牙是目前理想的门牙缺失修复技术,种植牙的稳固性、美观度、与功能行使方面都能与真牙相媲美。
问:门牙缺失后选择种植牙修复有什么注意的吗?
德伦口腔程武医生:门牙缺失后必须马上到专业的口腔机构进行诊治,不要错过了合适的种植时期。牙齿缺失会导致牙槽骨的吸收,缺牙时间越久牙槽骨被吸收的越多,以至于必须植骨才能进行种植,导致手术的难度增加,尤其是外伤导致的门牙缺失,因为创口的存在,使牙槽骨的吸收加快。
问:种植门牙与其他牙齿存在哪些难点,德伦口腔的种植医生怎么解决这些难点?
德伦口腔程武医生:门牙种植涉及到复杂的牙齿美学设计,对牙齿与牙龈的形态、颜色等有着严格的要求,加上前牙唇侧骨板薄、前牙有着天然的弧度、前牙区存在散在间隙等生理特性使得种植的难度加大。
德伦口腔使用的数字化种植技术可以很好地解决门牙种植修复难点。其中数字化种植牙的术前模拟设计,可以让医生手术前就清楚的看到前牙种植将要遇到的问题,比如:角度差值、骨粉植入多少、植体植入合适角度,医生可以在术前就研讨并设计出解决这些问题的方案,手术导板的定深、定位,定角度可以不单避免术中医生的失误,还简化手术过程,还大大缩短了手术时间。
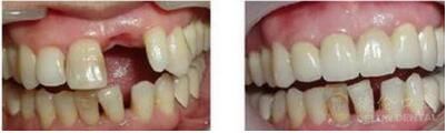
程武医生门牙修复案例:


预告:广东省级继续教育项目(Ⅰ类学分6分)
”数字化技术在前牙种植修复的应用”大型学术会议3月3-4日开幕

北京德伦口腔医学研究院联合广东省民营口腔医师协会、广州德伦口腔于2016年3月 3-4日将开展“省级继续教育项目---数字化技术在前牙种植修复的应用”大型学术会议。
300位在前牙种 植领域有丰富经验和高深造诣的国际著名学者将会聚集一起,针对前牙区种植的风险评估和预防、骨量不足的处理、美学效果的保存和改善、数字化技术的应用等疑 难和热点问题,结合实例分析,进行详细的研讨与讲解,进而推动数字化技术在前牙种植修复的应用,这将是高难度前牙缺失患者的福音。
特色项目
牙齿问题在线咨询
020-8378 2905
专家推荐
网上自助挂号
患者
须知
贯彻国家卫生部新医改政策,严格落实解决挂号难、看病难问题,开展网络自助预约挂号服务。

口腔连锁品牌