主页 > 七大项目 > 美容修复 >

矫正牙齿稀疏方法是什么呢

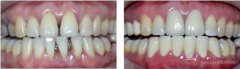
  矫正牙齿稀疏方法是什么呢?牙齿稀疏既有碍美观又影响进食,严重的时候甚至是说话都会咬字不清,想要...

造成牙齿稀疏的原因有哪些

  造成牙齿稀疏的原因有哪些?牙齿稀疏会给人们带来不同程度的危害,如果要矫正牙齿稀疏问题,就要先了...

牙齿稀少应及时治疗

  牙齿稀少应及时治疗。牙齿稀少不仅影响美观,而且还会影响全身健康。当然牙齿稀少影响全身健康,这...

治疗牙齿稀疏哪种方法好

  治疗牙齿稀疏哪种方法好?很多人想解决牙齿稀疏的问题,但是却不知道该怎么办?牙齿稀疏不但吃饭的时...

牙齿缝隙怎么治疗

  牙齿缝隙怎么治疗?我们不少爱美人士都在烦恼各种牙齿问题,像牙齿缝隙大的问题就正在困扰着不少爱美...

成人牙齿有缝隙还能矫正吗

  成人牙齿有缝隙还能矫正吗?牙齿稀少,门牙缝隙大是非经常见的牙齿问题,门牙缝隙大不仅会困扰着一些...

特色项目

牙齿问题在线咨询 020-8378 2905

专家推荐

网上自助挂号

患者
须知

贯彻国家卫生部新医改政策,严格落实解决挂号难、看病难问题,开展网络自助预约挂号服务。

选择科室*

  • 种植科
  • 正畸科
  • 综合牙科
  • 儿童齿科

选择年龄*

  • 18岁以下
  • 18-30岁
  • 30-50岁
  • 50岁以上

口腔连锁品牌

专家预约热线:020-8378 2905
本网站信息仅供参考,不能作为诊疗及医疗依据
广州德伦口腔 粤ICP备11073526号