主页 > 七大项目 > 美容修复 >

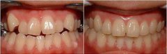
牙齿稀用美容修复好不好

  牙齿稀用美容修复好不好?牙齿很小很稀是生活中很常见的牙齿畸形病症,牙齿稀小的危害还是比较大的。...

用什么办法矫正牙齿稀疏好

  用什么办法矫正牙齿稀疏好?牙齿稀疏会导致求美者很多的尴尬,比如经常会塞牙,牙齿咀嚼力下降等。另...

牙齿间隙过大能治吗

  牙齿间隙过大能治吗?生活中经常有朋友抱怨,自己的牙缝天生就比别人大,不仅不美观,生活带其连累,...

牙齿稀疏吃东西塞牙缝

  牙齿稀疏吃东西塞牙缝。拥有一口健康的牙齿是每个人都想要的,但是并不是每个人都能美梦成真的,很...

天生老鼠牙后天美容修复它

  天生老鼠牙后天美容修复它。有的人牙齿天生像未发育完全一样弱小,咀嚼更是无力,同时又不能很好地...

洗牙能美白牙齿吗

  洗牙能美白牙齿吗?牙齿发黄?牙齿不白?很多朋友都有这样的问题,牙齿黄不仅会影响到一个人的气质,严...

特色项目

牙齿问题在线咨询 020-8378 2905

专家推荐

网上自助挂号

患者
须知

贯彻国家卫生部新医改政策,严格落实解决挂号难、看病难问题,开展网络自助预约挂号服务。

选择科室*

  • 种植科
  • 正畸科
  • 综合牙科
  • 儿童齿科

选择年龄*

  • 18岁以下
  • 18-30岁
  • 30-50岁
  • 50岁以上

口腔连锁品牌

专家预约热线:020-8378 2905
本网站信息仅供参考,不能作为诊疗及医疗依据
广州德伦口腔 粤ICP备11073526号